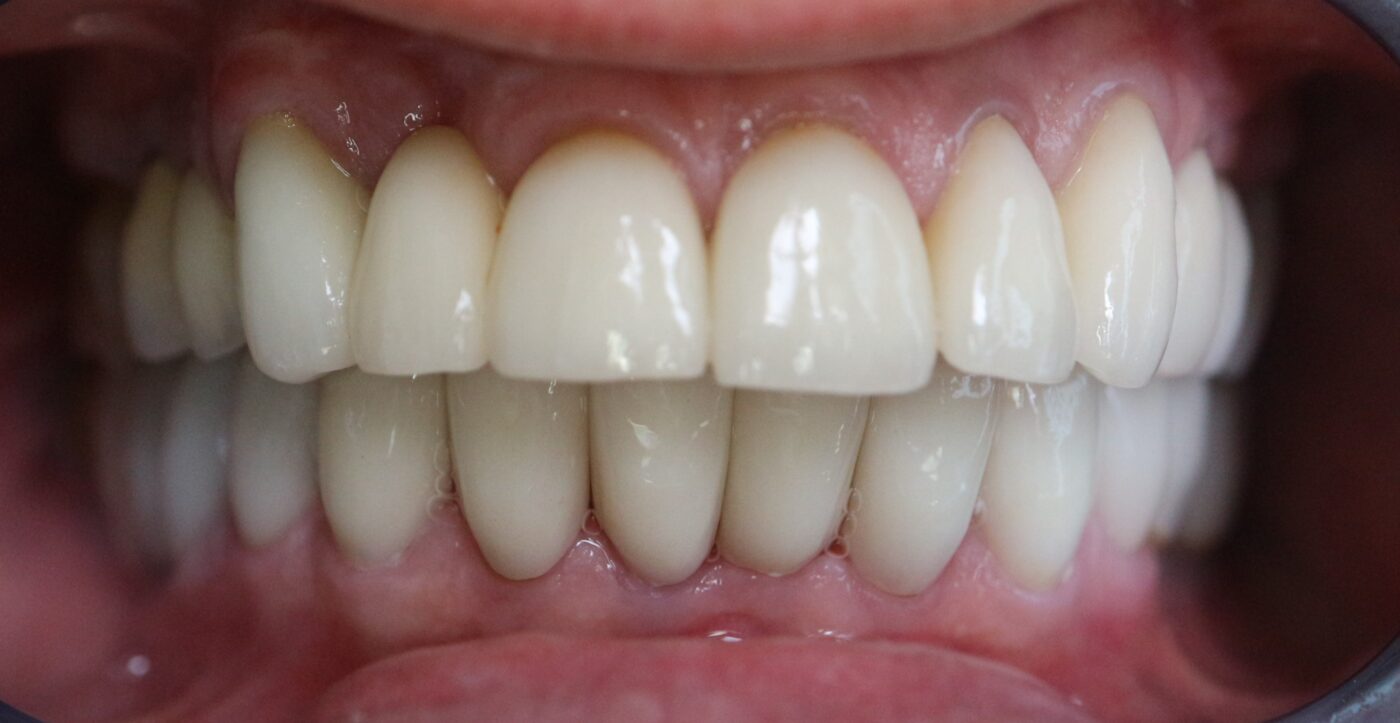
Traitement par Digital Smile Design, couronnes ceramique, implants , réhabiltation complexe et
complète
Usure +++ perte hauteur+++( perte de dimension verticale) , douleurs articulaire…, problèmes masticatoires et esthetiques
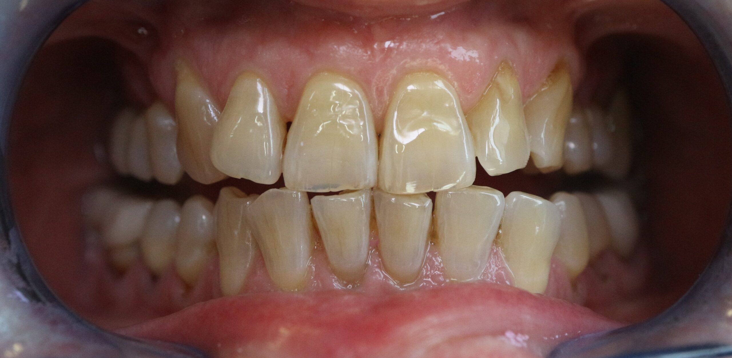
avant
après
Implants , couronnes bridges, traitement laser
Traitement usure + afaissement de la dimention verticale, Douleurs articulaires, traitement de la maladie parodontale, fissures dentaires
avant
après
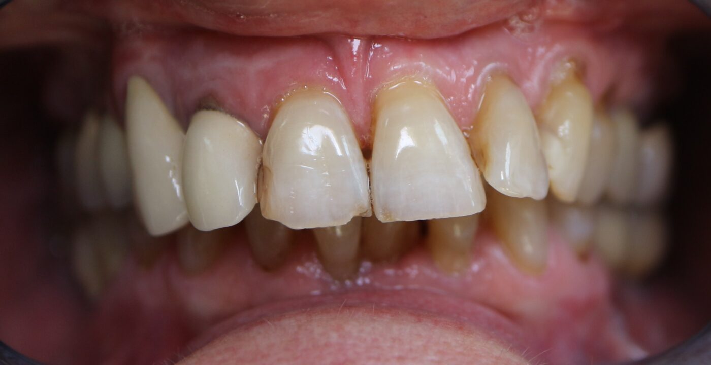
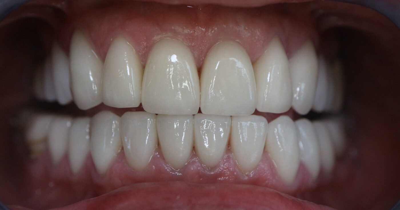
Dame de 70 ans
Traitement par facettes et couronnes sur dents vivante suite à fissures , usures et sensibilités dentaires. 10 dents en haut et 10 dents en bas
avant
après
Cas de Restauration Globale
Amélogenèse imparfaite, bruxisme, phobie.
Pose d’Implants sur dents absentes et réalisation de couronnes céramo-céramiques sur 21 dents vivantes
avant
après
Cas de Perte de dimension verticale suite au Bruxisme
Dépose des anciennes couronnes
Et Mise en place de facettes E-max sur les dents antérieures et Overlay E-max sur les dents posterieures.
Réalisation de Gouttières de Bruxisme nocturne.
avant
après
Cas de Réhabilitation Complexe
Assainissement Parodontal avant la mise en place d’implants sur les dents absentes postérieures.
Réstauration du sourire à l’aide de 28 facettes et couronnnes afin d’illuminer le sourire.
avant
après
Cas de Dents cassées suite à Bruxisme
Mise en place d’implants sur les dents absentes postérieures et réstauration du sourire à l’aide de 28 facettes et couronnnes.
Réalisation de Gouttières de Bruxisme nocturne.
avant
après
Cas de Dents usées et fissurées qui se sont ternies .
Réalisation en 2 séances de 28 facettes et couronnes afin de protéger les dents de la patiente . La patiente a choisi une teinte plus lumineuse.
avant
après
Cas de Dents fissurées suite à Bruxisme
Mise en place d’implants sur les dents absentes postérieures et réstauration du sourire à l’aide de 28 facettes et couronnnes.
Réalisation de Gouttières de Bruxisme nocturne.
avant
après
Mobilité générale et perte des dents postérieures ayant pour cause une maladie parodontale et du bruxisme
Traitement parodontal complet, mise en place d’implants sur les dents absentes postérieures et restauration du sourire à l’aide de 28 facettes et couronnes.
Réalisation de Gouttières de Bruxisme nocturne.
avant
après
Usure dentaire généralisée suite à Bruxisme
Rehausse de la dimension verticale de 3-4 mm a l’aide d’overlay sur les dents posterieures, et realisation de facettes sur les dents antérieures.
avant
après
Anciennes prothèses infiltrées
Dépose des anciennes prothèses et réalisation d’un bridge complet en ceramo céramique. Traitement réalisé en 2 séances.
avant
après
Anciennes prothèses infiltrées et usure généralisée.
Dépose des anciennes prothèses et réalisation de 28 facettes couronnes en ceramo céramique.
avant
après
Récession des gencives généralisée suite a un traitement de chimiothérapie et radiothérapie.
Traitement parodontal et restauration du sourire à l’aide de 28 facettes et couronnes.
Réalisation de Gouttières de Bruxisme nocturne.
avant
après
Dents cassées suite à Bruxisme
Mise en place d’implants sur les dents absentes postérieures et restauration du sourire à l’aide de 28 facettes et couronnes.
Réalisation de Gouttières de Bruxisme nocturne.
avant
après
Patient phobique qui n’a pas réalisé de soins depuis son enfance.
Mise en place d’implants sur les dents absentes postérieures et restauration du sourire à l’aide de 28 facettes et couronnes.
Patient reconcilié avec sa phobie dentaire.
avant
après
Patient phobique , présence d’une maladie parodontale, anciennes prothèses infiltrées et usure.
Traitement de la maladie parodontale, mise en place d’implants sur les dents absentes postérieures et restauration du sourire à l’aide de 28 facettes et couronnes avec rehausse de la dimension verticale de 3mm.
avant
après
Dents cassées suite à Bruxisme- Le patient souhaite un sourire naturel.
Mise en place d’implants sur les dents absentes postérieures et restauration du sourire à l’aide de 28 facettes et couronnes.
Réalisation de Gouttières de Bruxisme nocturne.
avant
après

