L’usure dentaire, les microfissures et la sensibilité sont des problématiques de plus en plus fréquentes chez l’adulte. Grincement nocturne (bruxisme), alimentation acide, stress ou vieillissement naturel fragilisent progressivement l’émail.
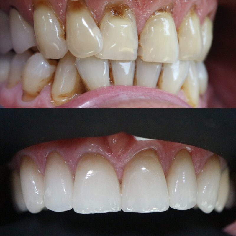
Au cabinet du Dr Zine Idrissi à Aix-en-Provence, une solution innovante et esthétique permet de restaurer durablement les dents fragilisées : la pose de facettes 360° en céramique EMAX.
Comprendre l’usure et les fissures dentaires
L’usure dentaire
L’usure correspond à une perte progressive de l’émail. Elle peut être causée par :
- Le bruxisme (serrement ou grincement des dents)
- Une alimentation acide
- Un brossage trop agressif
- Le vieillissement naturel
Conséquence : les dents deviennent plus courtes, plus plates et parfois translucides.
Les fissures dentaires
Les fissures peuvent être invisibles à l’œil nu. Elles apparaissent souvent à cause :
- De contraintes mécaniques répétées
- De chocs
- D’anciennes restaurations fragilisées
Elles peuvent évoluer vers des fractures plus importantes si elles ne sont pas traitées.
La sensibilité dentaire
Lorsque l’émail s’amincit, la dentine devient plus exposée. Résultat :
- Sensibilité au froid
- Sensibilité au chaud
- Douleurs lors du brossage
- Inconfort à la mastication
À long terme, la structure de la dent peut être compromise.
Pourquoi les facettes 360° en EMAX sont une solution idéale ?
Qu’est-ce qu’une facette 360° ?
Contrairement aux facettes classiques qui couvrent uniquement la face visible de la dent, la facette 360° enveloppe entièrement la dent, permettant :
- Une protection globale
- Un renforcement structurel
- Une amélioration esthétique complète
Pourquoi choisir la céramique EMAX ?
La céramique EMAX (lithium disilicate) est aujourd’hui une référence en dentisterie esthétique pour :
- Sa résistance élevée
- Sa translucidité naturelle
- Sa durabilité
- Son rendu esthétique haut de gamme
Elle permet de restaurer des dents usées ou fissurées tout en conservant un aspect parfaitement naturel.
Les bénéfices du traitement au cabinet du Dr Zine Idrissi à Aix-en-Provence
Protection durable contre les fissures
Diminution immédiate de la sensibilité
Renforcement mécanique des dents fragilisées
Amélioration du sourire
Traitement conservateur et précis
Le protocole est personnalisé selon :
- Le degré d’usure
- La présence de fissures
- L’occlusion du patient
- L’esthétique recherchée
Dans quels cas envisager des facettes 360° ?
- Dents raccourcies par le bruxisme
- Fissures répétées
- Sensibilité chronique
- Restaurations anciennes fragilisées
- Besoin de réhabilitation esthétique complète
Pourquoi consulter rapidement ?
L’usure dentaire est progressive mais irréversible. Plus elle est traitée tôt, plus le traitement est conservateur et durable.
Une évaluation clinique précise permet d’éviter :
- Les fractures sévères
- Les traitements endodontiques
- Les extractions
Traitement usure dentaire à Aix-en-Provence : prenez rendez-vous
Le Dr Zine Idrissi, dentiste à Aix-en-Provence, propose une prise en charge complète des dents usées, fissurées ou sensibles avec des solutions esthétiques et fonctionnelles modernes comme les facettes 360° en EMAX.
Une consultation permettra d’établir un diagnostic précis et un plan de traitement personnalisé.


